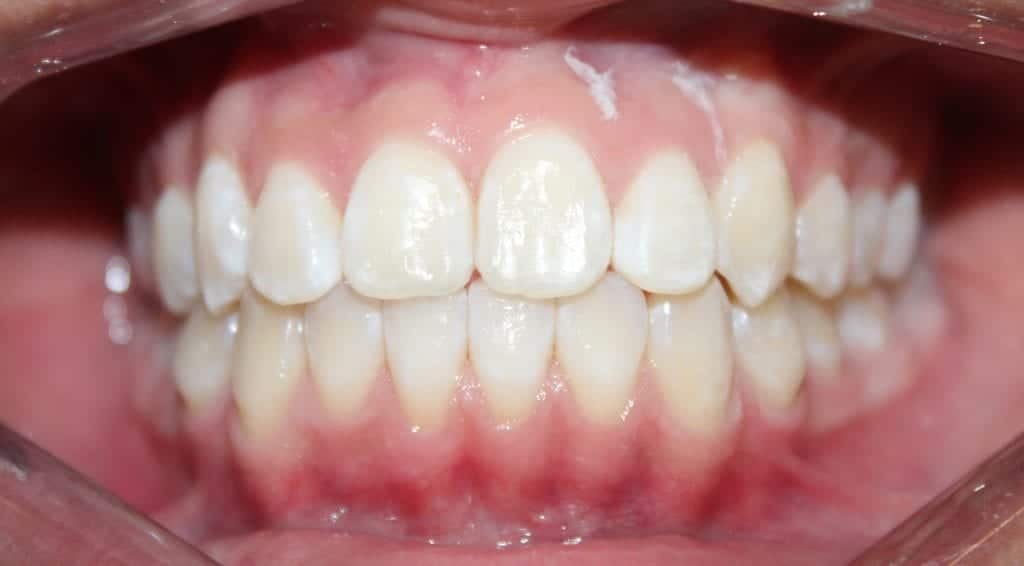
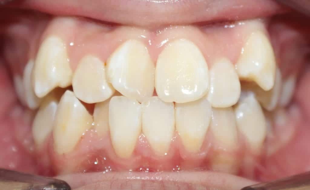
Orthodontic Care
for Every Age
We bring together expert-led orthodontic care and patient-centered
attention for kids, teens, and adults. Our spaces are thoughtfully
designed with sustainability in mind, built on LEED principles and
renewable materials because creating a healthier environment is
part of creating a healthier you








